إنقاذ حياة مريض سبعيني بنجاح عبر تدخل طبي متكامل بمستشفى جامعة سوهاج
أعلن الدكتور حسان النعماني، رئيس جامعة سوهاج، عن نجاح فريق طبي مشترك من وحدة الجهاز الهضمي والكبد بقسم الباطنة العامة ووحدة الأشعة التداخلية بقسم الأشعة، في إنقاذ حياة مريض يبلغ من العمر 75 عامًا. المريض، الذي يعاني من قصور في وظائف الكلى وتليف بالكبد، تعرض لنزيف شرياني حاد، وتمكن الفريق من إيقاف النزيف باستخدام المنظار والقسطرة الشريانية العلاجية بالأشعة التداخلية.
وأكد رئيس جامعة سوهاج، أن المستشفيات الجامعية تُعد ركيزة أساسية في تقديم الرعاية الصحية، بفضل كوادرها الطبية المؤهلة للتعامل مع الحالات الطارئة بكفاءة عالية.
تفاصيل الحالة الطبية
جامعة سوهاج.. وأوضح الدكتور مجدي القاضي، عميد كلية الطب ورئيس مجلس إدارة المستشفيات الجامعية، أن المريض وصل إلى قسم استقبال الباطنة العامة وهو يعاني من نزيف حاد وقيء دموي وبراز مدمم، بالإضافة إلى أنيميا حادة وحالة غير مستقرة في العلامات الحيوية.
جامعة سوهاج.. تم حجز المريض بوحدة الرعاية المتوسطة لتحسين حالته وإجراء منظار علوي عاجل، مما يعكس تطور الإمكانيات الطبية والمهارات التدريبية داخل المستشفيات الجامعية.
خطة علاجية متكاملة
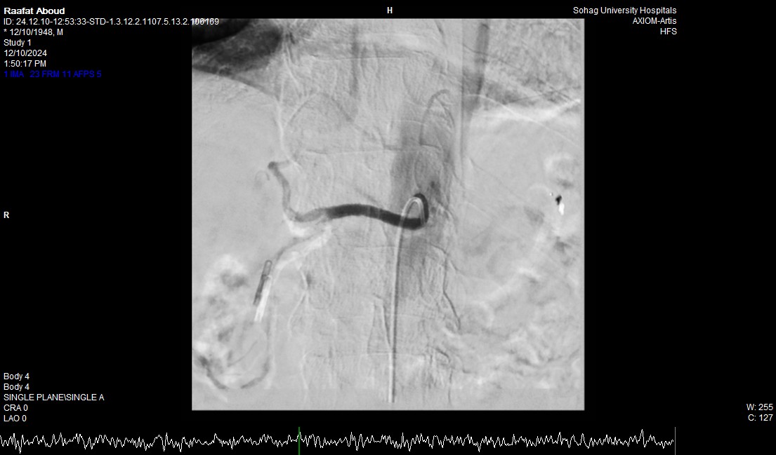
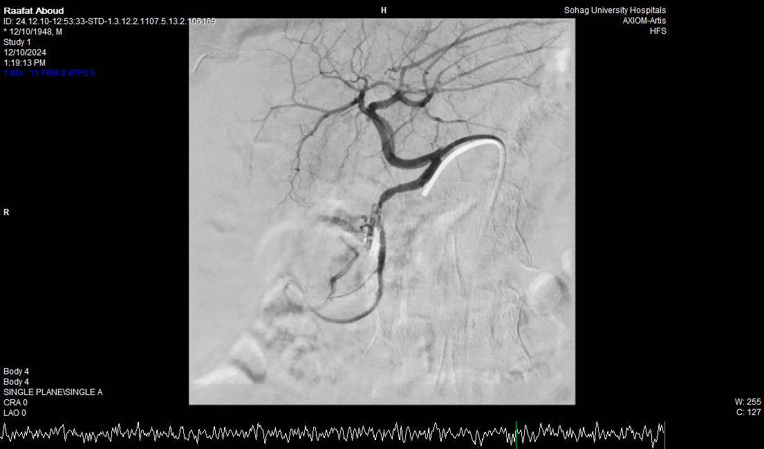
جامعة سوهاج.. أفاد الدكتور أحمد كمال، المدير التنفيذي للمستشفيات الجامعية، أن الفحوصات أظهرت وجود قرحة كبيرة في الاثني عشر وشريان نازف. نجح الفريق الطبي في التحكم بالنزيف مبدئيًا عبر تركيب مشبك معدني بالمنظار وحقن القرحة النازفة.
جامعة سوهاج.. وفي خطوة لاحقة، تم استدعاء فريق الأشعة التداخلية الذي تمكن من إغلاق الشريان النازف بشكل عاجل باستخدام جهاز القسطرة، ما ساهم في استقرار حالة المريض.
بديل آمن للحل الجراحي
جامعة سوهاج.. أشار الدكتور نايل عبد الحميد، رئيس قسم أمراض الباطنة، إلى أن التدخل الطارئ باستخدام المنظار والقسطرة الشريانية جنب المريض اللجوء إلى الجراحة، خاصة مع عمره المتقدم. وأضاف أن حالة المريض أصبحت مستقرة، مع توقف النزيف وتحسن في وظائف الكلى والكبد، وتم نقله من وحدة الرعاية المتوسطة إلى القسم الداخلي للمتابعة.
تجهيزات متقدمة تدعم النجاح
جامعة سوهاج.. أكد الدكتور محمد زاكي، رئيس قسم الأشعة، أن مثل هذه الحالات تعد من أخطر الطوارئ الطبية، حيث يتطلب التعامل معها إجراء قسطرة شريانية عاجلة لإيقاف النزيف. وأضاف أن وحدة الأشعة التداخلية مزودة بجهاز أشعة محوري متقدم مخصص لمثل هذه التدخلات، مشيرًا إلى أن هذا النجاح يعكس التعاون المثمر بين أقسام المستشفى المختلفة ووحدة الأشعة التداخلية لتقديم خدمات متميزة للمرضى.
- جامعة سوهاج
- كليات جامعة سوهاج
- نتائج جامعة سوهاج
- نتائج جامعة سوهاج 2024
- قرار رئيس جامعة سوهاج اليوم
- الخدمات الإلكترونية جامعة سوهاج
- موقع جامعة سوهاج
- أخبار جامعة سوهاج الآن
- الصفحة الرسمية لجامعة سوهاج
- جامعات مصر
- تخصصات جامعة سوهاج
- جامعة سوهاج طلب الالتحاق
- مصاريف جامعة سوهاج
- مواعيد تقديم جامعة سوهاج
- موقع التشعيب الإلكتروني جامعة سوهاج
- أخبار جامعة سوهاج
- أخبار جامعة سوهاج اليوم
- أخبار الجامعات
- أخبار جامعات
- أخبار الجامعات اليوم
- الجهاز الهضمي والكبد
- الباطنة العامة
- الأشعة التداخلية
- وظائف الكلى
- تليف بالكبد
- المستشفيات الجامعية
- القسطرة الشريانية
