إنجاز طبي جديد
نجاح فريق طبي فى استخراج سيخ حديدى من جسد عامل بمستشفى الطوارىء الجامعي بطنطا
- نجاح فريق طبي فى استخراج سيخ حديدى من جسد عامل بمستشفى الطوارىء الجامعي بطنطا
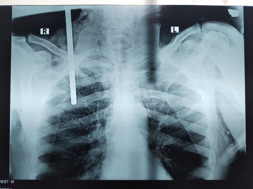
نجح فريق طبي بمستشفى الطوارىء بجامعة طنطا فى استخراج سيخ حديدي من جسم عامل اخترق جسده من جهة اليمين بين الكتف والرأس واستقر بصدره إثر سقوطه عليه أثناء تأدية عمله بإحدى شركات المقاولات.

نجاح فريق طبي فى استخراج سيخ حديدى من جسد عامل بمستشفى الطوارىء الجامعي بطنطا
أوضح الدكتور محمد حنتيرة القائم بعمل عميد كلية الطب جامعة طنطا ورئيس مجلس إدارة المستشفيات الجامعية أنه فور استقبال الحالة تم استدعاء الفريق الطبي المتكامل المشكل من كافة التخصصات الجراحية المعنية بمثل تلك الحالات وتوفير كافة التجهيزات الطبية اللازمة، موضحًا أنه تم إجراء الجراحة اللازمة للمريض وتقديم الرعاية الطبية له بعد خروجه من الجراحة مشيرًا إلى استقرار حالته بالعناية المركزة الجراحية بمستشفى الطوارئ.

نجاح فريق طبي فى استخراج سيخ حديدى من جسد عامل بمستشفى الطوارىء الجامعي بطنطا
من جانبه أشاد الدكتور محمود ذكى رئيس جامعة طنطا بكفاءة ومهارة الفريق الجراحى الذى تدخل في الوقت المناسب لإنقاذ المريض، مشيدًا بسرعة التعامل مع الحالة منذ اللحظة الأولى لاستقبالها، موجهًا بتوفير الرعاية الصحية للمريض حتى يتماثل للشفاء مشيرًا إلى أن المستشفيات الجامعية بجامعة طنطا تعمل بكامل جاهزيتها لخدمة المرضى بمحافظات الدلتا.

نجاح فريق طبي فى استخراج سيخ حديدى من جسد عامل بمستشفى الطوارىء الجامعي بطنطا
أوضح الدكتور حسن التطاوى المدير التنفيذي لمستشفيات جامعة طنطا أن الجراحة استغرقت 5 ساعات وأن الفريق الطبى يضم كل من الدكتور محمد العيسوى المدرس بقسم جراحة الأوعية الدموية والدكتور محمد حسن عبدالعاطى المدرس المساعد بقسم جراحة الأوعية الدموية، والدكتور احمد بدوى المدرس المساعد بقسم جراحة الأوعية الدموية، والدكتور شريف طارق الطبيب المقيم بذات القسم، ومن قسم جراحة القلب والصدر الدكتور محمد الجاريه المدرس بالقسم، والدكتورة سمر محمد المدرس المساعد بذات القسم، ومن قسم التخدير الدكتورة فاطمة السماحى المدرس المساعد، والدكتور أحمد البرادعى الطبيب المقيم، وكان قد استقبل الحالة الدكتور أحمد النواجى المدرس المساعد بقسم الطوارىء.
